Zurück zur Startseite
Zurück zur Startseite

Diagnostik Pankreaszentrum

Pankreaszentrum

Die Diagnostik im Pankreaszentrum umfasst verschiedene Untersuchungen, die ggf. schon beim Hausarzt eingeleitet werden oder aber bei einem persönlichen Gespräch im Rahmen unserer Sprechstunde mit Ihnen besprochen werden.

Anamnese

Zu Beginn eines Sprechstundentermins steht ein ausführliches Gespräch über Ihre Beschwerden und Vorerkrankungen.

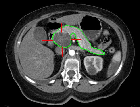
Computertomographie

Die Computertomographie ist häufig das erste diagnostische Mittel im Rahmen der Untersuchung bei Tumoren der Bauchspeicheldrüse. Nicht selten ist dies bereits vor dem ersten Termin in unserer Sprechstunde bereits vom Hausarzt angemeldet und in einem Röntgen-Institut durchgeführt worden.

Anhand dieser Bilder und Befunde kann eine erste Aussage über die Lage des Tumors und der Möglichkeit und das Ausmass einer Operation getroffen werden.

pankreas_ct.jpg

Kernspintomographie

Besonders bei einer Gelbsucht (Ikterus), die durch eine Abflussbehinderung der Gallenflüssigkeit in den Dünndarm hervorgerufen wird, spielt die Kernspintomographie der Bauchspeicheldrüse und die Darstellung der Gallenwege und Gänge der Bauchspeicheldrüse eine wichtige Rolle. Auch diese Untersuchung kann vom Hausarzt als erste Bildgebung bereits durchgeführt worden sein. In der MRT (Magnet-Resonanz-Tomographie) können die flüssigkeitsgefüllten Gänge der Leber über die Gallenwege und der Bauchspeicheldrüse sehr genau beurteilt werden.

pankreas_mrt.jpg

Endosonographie mit ggf. Punktion

Die Endosonographie ist eine Magenspiegelung in der von Innen ein Ultraschall von den inneren Organen und besonders der Bauchspeicheldrüse durch die Wand des Magens oder Zwölffingerdarms möglich ist. Diese Untersuchung gibt einerseits manchmal ein besseres Bild des Tumors und besonders die Möglichkeit zur Punktion des Tumors. So können mit einer kleinen Nadel Zellen des Tumors gewonnen und in der Pathologie untersucht werden, um die Dignität des Tumors zu bestimmen.

Endoskopische Retrograde Cholangio-Pankreatiko-Graphie (ERCP)

Mittels ERCP, welches für Sie ebenfalls mit einer Magenspiegelung vergleichbar ist, können die Gallenwege und der Pankreasgang dargestellt werden. Diese Untersuchung kommt häufig mit einem therapeutischen Ansatz zum Zuge, wenn eine Gelbsucht besteht. Im Rahmen dieser Spiegelung kann die Engstelle in den Gallenwegen im Kopf der Bauchspeicheldrüse überwunden und ein Röhrchen (Stent) eingesetzt werden, um den Abfluss der Gallenflüssigkeit wieder zu gewährleisten.

PET-CT

PET-CT (Positronen-Emmisions-Tomographie in Kombination mit einer Computertomographie):

Bei dieser Untersuchung wird ein spezielles Kontrastmittel mit einem Markierten Zucker gespritzt. Dieser Zucker reichert sich besonders in bösartigen Tumoren an. Durch das PET-CT wird weniger der Tumor der Bauchspeicheldrüse gesucht (diesen sollte man bereits vorher nachgewiesen haben) sondern vor allem ggf. vorhanden Tochtergeschwüre (Metastasen) des Tumors gesucht, welche in der Leber, der Lunge aber auch überall anders im Körper vorhanden sein können. Von diesem Befund hängt dann sehr massgeblich die weitere Behandlung ab.

pankreas_petct.jpg

Tumormarker Ca 19-9

Der Tumormarker Ca 19-9 kann im Blut bestimmt werden. Für die primäre Diagnostik des Tumors spielt dieser Wert eine untergeordnete Rolle und kann besonders bei einer Gelbsucht fälschlicherweise erhöht sein. Auch kann dieser Tumormarker trotz vorhandenem Tumor im Normbereich liegen. Das Ca 19-9 dient vielmehr einer Verlaufskontrolle im Rahmen der weiteren Therapie.